KöR Whitening is an advanced teeth whitening treatment that delivers noticeably whiter, brighter smiles with little to no sensitivity.
BeforeAfter
Tooth Bonding
BeforeAfter
Tooth Bonding used to repair a chip on the edge of the tooth.
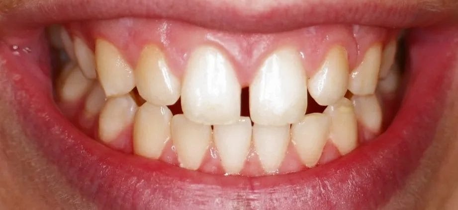
BeforeAfter
Tooth Bonding was used to close gaps and maintain a natural looking smile.
BeforeAfter
Porcelain veneers were used to reshape teeth and close gaps.
BeforeAfter
Porcelain Veneers used to resize small teeth.
BeforeAfter
Custom porcelain veneers reshaped and sized front teeth for a natural looking result.
BeforeAfter
Invisalign was used to correct an overbite and close gap between teeth.
BeforeAfter
Invisalign used to straighten upper and lower teeth.
BeforeAfter
Invisalign was used to correct an overbite and close gap between teeth.
BeforeAfter
Composite Dental Veneers were used to create full smooth front teeth.
BeforeAfter
Dental Veneers used to match the left tooth to the right tooth for a more symmetrical smile.
BeforeAfter
Composite Dental Veneers used to bring balance to and improve the aesthetics of the smile.
BeforeAfter
Snap on Smile was used to repair the apperance of broken and discolored teeth.
BeforeAfter
Snap-on Smile is used to resize the apperance of the teeth and close gaps.
BeforeAfter
Snap-on Smile creates a more aesthetic upper arch.
Accepting New Patients and Emergency Appointments Welcome!
Join our family at Proud Smiles.
We’re committed to providing compassionate, expert dental care in a welcoming environment. Schedule your appointment today and let us help you achieve the healthy, beautiful smile you deserve.